歯がしみる・顎が痛い…それ、虫歯ではなく「ブラキシズム」かも? 専門医が最新ガイドラインに基づく3つの対策を解説
投稿日:2026年3月27日
カテゴリ:未分類
はじめに:海浜幕張の皆様へ。その「歯の痛み」、虫歯ではないかもしれません
京葉線海浜幕張駅近く、マリブ海浜歯科室院長の吉田雄太です。
毎日多くの患者様を診察している中で、非常に多く見受けられるのが「歯がしみる」「原因不明の顎の痛み」「詰め物が何度も外れる」といったお悩みです。検査をしても虫歯が見つからない場合、その真犯人は**『ブラキシズム(歯ぎしり・食いしばり)』**である可能性があります。
今回は、日本の歯科医学界の最高指針である**「日本補綴(ほてつ)歯科学会」のガイドライン**に基づき、当院が実践している科学的根拠のある対策について詳しく解説します
なぜブラキシズムが起きるのか?
かつては「噛み合わせが悪いから」と考えられていましたが、現代の医学コンセンサスでは、主な原因は**「ストレス」や「睡眠の質」**にあるとされています。脳がストレスを解消しようとして、無意識に顎を動かしてしまう生体反応の一種なのです
「ただ歯が削れるだけ」と思っていませんか? 実は、歯の寿命を劇的に縮める**「静かな破壊」**が進んでいるかもしれません。このような悪影響が出ることがあります。
1. 歯の根っこが割れる(歯根破折)
突然の抜歯宣告: 歯に耐えきれない力がかかり続けると、ある日突然、歯の根っこが竹を割ったようにパカッと割れてしまうことがあります。
根っこが割れてしまうと、現代の歯科医学でも保存は難しく、「抜歯」せざるを得ないケースがほとんどです。神経を抜いた歯(失活歯)は特にもろくなっているため、注意が必要です。
2.歯周病を「加速」させる(咬合性外傷)
揺さぶられ効果: 歯周病で支えが弱っている歯に強い力が加わると、杭を左右に激しく揺さぶるような状態になります。
歯を支える骨(歯槽骨)へのダメージが倍増し、通常の歯周病よりもはるかに速いスピードで歯がグラグラになり、抜け落ちるリスクが高まります。
3.歯の根元が削れる(アブフラクション)
くさび状の欠損: 歯に過度な力が加わると、歯がわずかに「しなり」ます。その応力が集中する歯の根元(エナメル質の薄い部分)がポロポロと崩落し、V字型に削れてしまいます。
知覚過敏の原因: 削れた部分は神経に近いため、冷たいものがキーンとしみる「重度の知覚過敏」を引き起こします。また、虫歯にもなりやすい場所です。
4.歯が欠ける
セラミックや自分の歯がかける:高価なセラミックが欠けたり、外れたりする原因の多くは、夜間の強い力です。どんなに精密に作った歯も、毎日「ギリギリ」と力まかせに揺さぶられれば、接着剤が剥がれたり、土台が傷んだりします。
第1章:学会が定義する「ブラキシズム」の正体
まず知っていただきたいのは、ブラキシズムは単なる「寝相の悪さ」ではないということです。
1. 最新のコンセンサス(学会の考え方)
日本補綴歯科学会のガイドラインでは、ブラキシズムを「上下の歯を非機能的(咀嚼や嚥下以外)に接触させる習癖」と定義しています。 かつては「噛み合わせ」が原因とされましたが、現在は**「睡眠の質」や「ストレス」といった中枢神経系の関与**が主流の考え方となっています。
ブラキシズムの3つのタイプ
ブラキシズムには、大きく分けて3つの種類があります。
グラインディング(歯ぎしり): ギリギリと音を立てて横にこすり合わせるタイプ。歯が平らに削れてしまいます。
クレンチング(食いしばり): 音を立てずにグーッと強く噛みしめるタイプ。自覚症状が出にくく、最も厄介です。
タッピング : カチカチと小刻みに歯をぶつけるタイプ。
2. 放置することのリスク
歯の崩壊: 自分の体重以上の力がかかり、健康な歯が真っ二つに割れることがあります。
歯周病の悪化: 揺さぶられる力が加わることで、歯を支える骨が急速に溶けます。
顎関節症: 口が開かなくなる、顎がカクカク鳴るといった症状を引き起こします
第2章:マリブ海浜歯科室が提案する「3つの対策」徹底比較
当院では、学会の推奨に基づき、患者様のライフスタイルに合わせた3つのアプローチを組み合わせています。
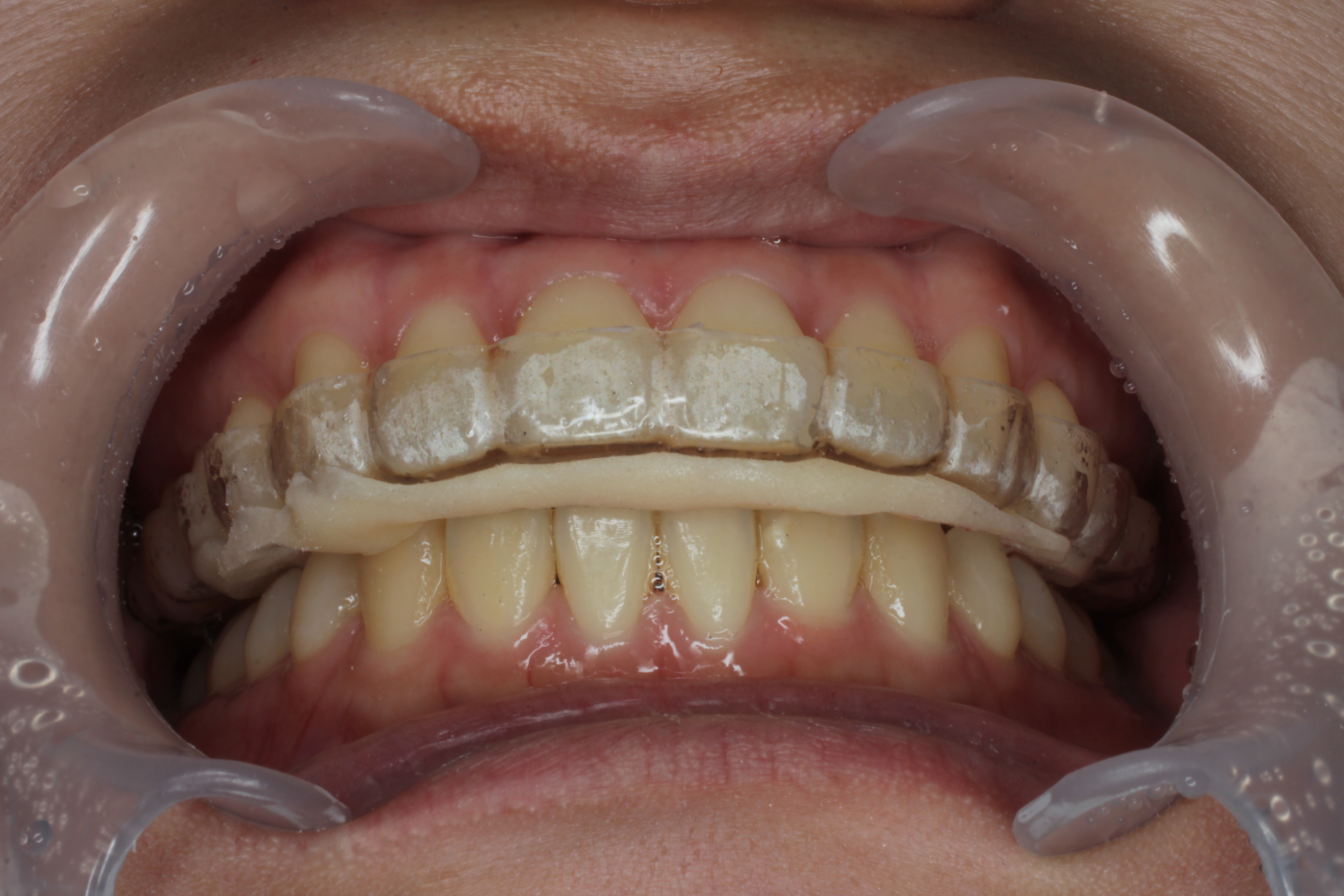
① スプリント療法(マウスピース)
学会ガイドラインで**「強く推奨(推奨度1A)」**されている、最も標準的な治療です。
効果: 物理的に歯と歯の接触を遮断し、歯の摩耗や修復物の破損を防ぎます。
メリット: 保険診療で作製可能。非侵襲的(体を傷つけない)で安全。
デメリット: 寝ている間の違和感がある。根本的な「噛む力」そのものを弱めることはできない。

② 認知行動療法(TCH是正)
日中の「無意識な接触(TCH)」に焦点を当てた訓練です。
効果: 「歯は本来、食事の時以外は離れているもの」という意識を脳に定着させます。
メリット: 費用がかからず、副作用もない。日中の食いしばりによる肩こり改善に有効。
デメリット: 患者様ご本人の継続的な努力(意識付け)が必要で、即効性に欠ける。
③ ボツリヌス療法(ボトックス注射)
今、最も注目されている**「筋肉の活動を直接コントロールする」**最新の選択肢です。
効果: 咬筋(エラの筋肉)に天然のタンパク質を注入し、異常な筋緊張を緩和します。
メリット: 「噛む力」そのものを物理的に弱めることができる唯一の方法です。マウスピースが苦手な方にも最適で、小顔効果や頭痛緩和も期待できます。
デメリット: 自由診療(保険外)当院では33,000円(税込)で行なっています。効果が数ヶ月(約4~6ヶ月)で消失するため、定期的な継続が必要。
第3章:なぜ私は「ボトックス療法」を強くお勧めするのか
院長として多くの症例を診てきた経験から、特に**「強い食いしばり」がある方にはボトックス療法を推奨**しています。
学会のガイドラインでは、かつて「内服薬(飲み薬)」による治療が検討されましたが、副作用(眠気やふらつき)のリスクから積極的な推奨はされていません。 それに対し、ボトックスは**「ターゲットとする筋肉だけにピンポイントで効かせる」**ため、全身への副作用が極めて少なく、非常に合理的な治療なのです。
「マウスピースをしても、朝起きると顎が疲れている」という方は、マウスピースを突き破るほどの力で噛みしめています。この**「破壊的なパワー」を元から抑え込める**のが、ボトックスの最大の強みです。
治療法の第一選択にはなり得ませんが、マウスピースだけで効果が見られない時には次の選択肢として有効な策です。
第4章:エビデンス(出典)に基づく信頼の歯科医療
当院の治療方針は、以下の公的な指針に基づいています。
日本補綴歯科学会 編 『睡眠時ブラキシズムの診療ガイドラインhttps://hotetsu.com/files/files_540.pdf
日本顎関節学会 『顎関節症治療の指針』https://kokuhoken.net/jstmj/publication/guideline.html
国際コンセンサス(Lobbezoo et al., 2018) ブラキシズムの定義と評価に関する世界標準の指標
私たちは、根拠のない治療は行いません。海浜幕張で「一生自分の歯で食事ができる」環境を守るために、常に世界標準の知見を取り入れています。
第5章:治療の具体的なステップ
患者様が「どんなことをされるのか」をイメージできるように、各療法のステップを可視化します。
1. スプリント療法(マウスピース)の流れ
学会で「強く推奨」されている、最も基本的な治療のステップです。
精密検査・カウンセリング: 歯のすり減り具合、顎の関節の動き、筋肉の張りを専門医がチェックします。型取り: 上下の歯型を精密に取り、噛み合わせのバランスを測定します。
製作: 歯科技工士が、患者様専用の「ハードタイプ」スプリントを作製します。
装着・調整: 約1週間後、完成したスプリントを装着。当たり具合をミクロン単位で微調整します。
定期検診: スプリントに穴が開いていないか、噛み合わせが変化していないかを確認します。
※ スプリント療法の使用上の注意点 ※nightguard_handout_A4_1page_clinic_balanced
①清潔に保つ
水洗いが鉄則: 外した後は流水でしっかり洗います。
お湯はNG: ナイトガードは熱可塑性樹脂で作られていることが多く、熱湯をかけると変形してしまいます。必ず水かぬるま湯を使ってください。
歯磨き粉は使わない: 研磨剤が入っていると、ガードの表面に細かな傷がつき、そこに細菌が繁殖しやすくなります。
専用の洗浄剤: 汚れやニオイがついてきます。入れ歯用やマウスピース専用の洗浄剤を推奨します。1回あたり10円以下のコストです。
②装着時の注意
寝る直前に装着: 基本は就寝時のみの使用です。
歯磨き後に使用: 歯に汚れが残ったまま装着すると、密閉された状態で虫歯菌が活発になり、虫歯リスクが急増します。
無理に嵌めない: 違和感が強すぎたり、痛みがある場合は無理に使用せず、調整が必要です。作成してからしばらく使わず放置してしまうと歯が移動してスプリントがはまらなくなることがあります。
必ず手ではめてください。噛んではめようとするとすると簡単に割れてしまいます。注意してください。
③保管と劣化のチェック
乾燥させて保管: 洗浄後は専用ケースに入れ、清潔に保管します。
穴あき・変形をチェック: 強い力(特にクレンチング)がかかると、ガードに穴が開いたり薄くなったりします。スプリントは消耗品です。破損したら新しいものを作成しましょう。
ナイトガードに傷がつく分、自分の歯が守られています。
定期検診での調整: 歯並びや噛み合わせは微妙に変化します。定期的に歯科医院で適合を確認することが重要です。
2. 認知行動療法(TCH是正)の進め方
「意識を変える」という非常に重要なプロセスです。
現状認識: 自分がどんな時に歯を接触させているか(パソコン作業中、料理中など)を特定します。
リマインダーの設定: 家中や職場に「リマインダー(付箋やシール)」を貼り、それを見たら「力を抜いて鼻呼吸、歯を離す」を実践します。
日記・記録: 1日のうち、どれくらい食いしばっていたかを振り返り、無意識を意識化していきます。
3. ボツリヌス療法(ボトックス)のステップ
筋肉の厚み測定: 強く噛んでもらい、咬筋(エラの筋肉)の盛り上がりと厚みを確認します。
消毒・マーキング: 注射するポイントを正確に特定し、痛みを最小限にする準備をします。
注入(約5~10分): 極細の針を使用し、適切な量の薬剤を筋肉に注入します。
経過観察: 約2週間後に、噛む力の変化や見た目の変化をチェックします

カウンセリング時に治療を希望される方は同意書をお書きいただきます。
ボツリヌス療法治療に対する注意事項と同意書 5020ee9977a54a3d151dcf7d48a83b14
治療を受けられない方(禁忌)
以下の項目に該当する方は、安全のため治療を行うことができません。
全身性の神経筋接合部疾患がある方: 重症筋無力症、イートン・ランバート症候群、筋萎縮性側索硬化症(ALS)など。
妊娠中・授乳中の方: 胎児や乳児への安全性が確立されていないため、当院では実施しておりません。
ボツリヌス菌由来の成分に過敏症(アレルギー)がある方。
直近(3ヶ月以内)に他の部位でボトックス治療を受けた方: 投与間隔が短いと、抗体ができて効果が出にくくなる可能性があります。
慎重な判断が必要な方
高齢者: 筋力の低下や嚥下機能への影響を考慮し、慎重に投与量を決定します。
慢性的な呼吸器疾患がある方: 喘息などがある場合は、事前に主治医と連携します。
他の薬剤を服用中の方: 特に筋弛緩剤や一部の抗生物質(アミノグリコシド系など)を服用している場合、効果が強く出すぎることがあります。
治療後の重要な注意点
避妊について: 投与後、女性は2回の月経を経るまで、男性は3ヶ月間、避妊が必要です。これは薬剤の生殖細胞への影響を完全に否定できないため、世界共通の安全基準となっています。
当日の活動: 激しい運動、長風呂、飲酒、サウナなど、血流を急激に促進する行為は控えてください(内出血のリスクを高め、薬剤が拡散しすぎるのを防ぐため)。
マッサージ禁止: 注入部位を強く揉んだりマッサージしたりしないでください。薬剤が周囲の意図しない筋肉へ広がってしまうのを防ぐため、数日間は安静を保ちます。
起こりうる一時的な副作用
内出血・腫れ: 注射部位に小さな青あざができることがありますが、通常1〜2週間で消失します。
噛む時の違和感: 数日間、硬いものが噛みづらい、あるいは顎が疲れやすいと感じることがありますが、筋肉が適応するにつれて落ち着きます。
笑顔の違和感: 注入位置や量により、口角の上がり方に左右差が出たり、笑いにくさを感じたりすることが稀にあります(数ヶ月で回復します)。
第6章:患者様がネットで検索しがちな疑問を網羅し、専門的な回答を用意しました。
Q1. 歯ぎしりは、噛み合わせを削って治せばいいのでは?
A. 日本補綴歯科学会のガイドラインでは、ブラキシズムを止めるための「歯を削る治療」は原則推奨されていません。原因はストレスや睡眠の質など中枢性にあるため、まずはマウスピースやボトックスで「保
護・緩和」するのが世界基準です。
Q2. マウスピースは一生使い続ける必要がありますか?
A. 症状やストレスの状況によりますが、基本的には「歯の保険」として就寝時の装着をおすすめしています。ただし、ボトックス療法で筋力が安定してくれば、装着頻度を減らせる場合もあります。
Q3. ボトックス注射は痛いですか?
A. 歯科で使用する針は非常に細いため、チクッとする程度です。施術時間も5分程度と短く、麻酔なしでも耐えられる痛みがほとんどです。
Q4. ボトックスの効果はどれくらい持続しますか?
A. 個人差はありますが、一般的に4ヶ月〜6ヶ月程度です。効果が切れる前に定期的に打つことで、筋肉が過剰に発達するのを抑え、持続期間が長くなる傾向があります。
Q5. ボトックスを打つと、ご飯が噛めなくなりますか?
A. 「異常に強い力」を抑えるだけで、食事に必要な力は残ります。数日間は硬いものを噛むときに違和感があるかもしれませんが、日常生活に支障はありません。
Q6. 保険診療と自由診療、どちらがいいですか?
A. 歯を守る目的(スプリント)は保険で対応可能です。より積極的な筋緊張の緩和や、見た目のスッキリ感、マウスピースの違和感から解放されたい場合は、自由診療のボトックスが非常に有効です。
Q7. 子どもの歯ぎしりも治療が必要ですか?
A. お子様の場合、顎の発育に伴う自然な現象であることが多いです。基本的には経過観察となりますが、永久歯への影響が懸念される場合は一度ご相談ください。
Q8. ボトックスで小顔になれるって本当ですか?
A. 副次的な効果として、発達しすぎた咬筋がスリムになるため、エラ張りが改善され小顔に見えることが多いです。
Q9. 市販のマウスピースでも代用できますか?
A. 市販品はご自身の歯列に適合していないため、逆に噛み合わせを悪くしたり、顎関節症を悪化させたりするリスクがあります。歯科医院での精密な作製を強くお勧めします。
Q10. ブラキシズムは完全に治りますか?
A. ブラキシズムは「生体反応」の一部であり、ゼロにすることは難しいとされています。しかし、歯科的なアプローチで「壊れない力」にコントロールすることは十分に可能です
おわりに:あなたの「歯の寿命」は、力のコントロールで決まる
歯を失う原因の1位は歯周病、2位は虫歯ですが、その背景には必ずと言っていいほど「ブラキシズムによる過剰な力」が隠れています。
「最近、食いしばっている気がする」 「家族に歯ぎしりを指摘された」
そんな小さなサインを見逃さないでください。マリブ海浜歯科室では、担当医があなたの顎の状態を診査し、最適な治療プランを立案します。
海浜幕張の皆様、お口の健康は「力の管理」から始まります。ぜひ一度、当院のカウンセリングにお越しください。
マリブ海浜歯科室 院長 吉田雄太
■ 他の記事を読む■



